Sunday 23 February 2025
A team of researchers has made a significant breakthrough in the field of medical imaging, developing a new approach to segmenting brain tumors on MRI scans. The technique uses transfer learning and stratified fine-tuning to improve accuracy and adaptability to limited data.
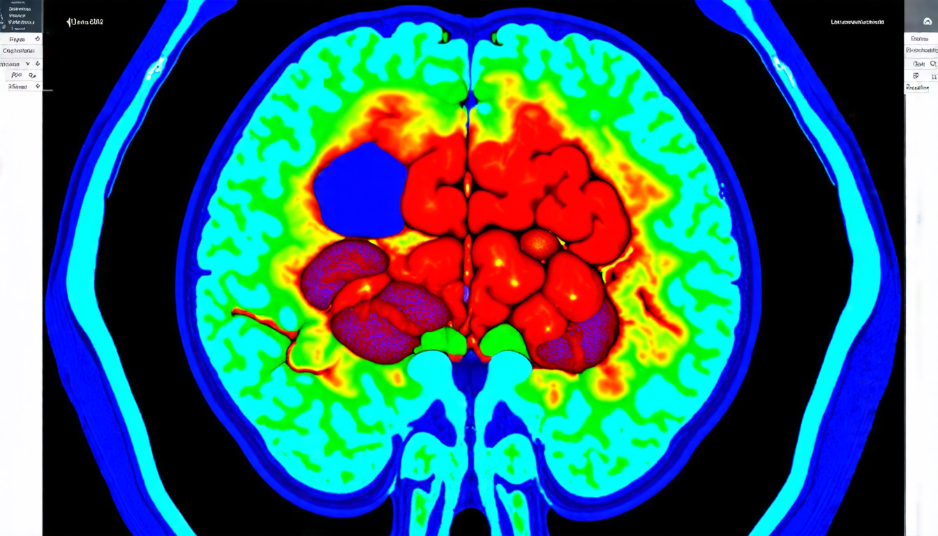
Brain tumors are a leading cause of death worldwide, and accurate segmentation is crucial for diagnosis and treatment planning. However, this task is challenging due to the complexity of the tumors and the variability of the imaging data. Traditional approaches often rely on large datasets and complex algorithms, which can be impractical in resource-limited settings.
The new approach, developed by a team of researchers from several institutions, uses a combination of transfer learning and stratified fine-tuning to improve segmentation accuracy. Transfer learning involves pre-training a model on a large dataset and then fine-tuning it on a smaller target dataset. Stratified fine-tuning involves creating multiple folds of the training data and adjusting the model’s parameters to optimize performance.
The researchers used two pre-trained deep learning models, nnU-Net and MedNeXt, which are designed for biomedical image segmentation. They fine-tuned these models on a small dataset from Sub-Saharan Africa, where brain tumors are often diagnosed using low-quality MRI scans. The team also developed a new post-processing technique to refine the segmentation results.
The results of the study show significant improvements in segmentation accuracy compared to traditional approaches. The model achieved a lesion-wise mean Dice score of 0.870 for enhancing tumor, 0.865 for tumor core, and 0.926 for whole tumor regions on unseen validation cases. The team also demonstrated the effectiveness of their approach by comparing it to a model trained from scratch using local data.
This breakthrough has important implications for medical imaging in resource-limited settings. By leveraging pre-trained models and stratified fine-tuning, clinicians can access accurate segmentation results even with limited data. This could lead to improved diagnosis and treatment outcomes for patients with brain tumors in these regions.
The study’s findings also highlight the potential of transfer learning and stratified fine-tuning in medical imaging more broadly. These approaches have the potential to improve accuracy and adaptability across a range of applications, from disease diagnosis to image-based interventions.
Overall, this research demonstrates the power of artificial intelligence in improving healthcare outcomes, particularly in resource-limited settings. By developing more effective and adaptable segmentation techniques, clinicians can better diagnose and treat brain tumors, leading to improved patient care and outcomes.
Cite this article: “Breakthrough in Medical Imaging: Accurate Brain Tumor Segmentation with Limited Data”, The Science Archive, 2025.
Medical Imaging, Brain Tumors, Mri Scans, Transfer Learning, Stratified Fine-Tuning, Deep Learning Models, Biomedical Image Segmentation, Lesion Detection, Disease Diagnosis, Artificial Intelligence.







